Braces Cost In Malaysia - For example, aligners are removable which means a user can remove aligners while eating or drinking.

Braces Cost In Malaysia - For example, aligners are removable which means a user can remove aligners while eating or drinking.. Get your dream smile with become invisible braces delivered to your doorstep for a fraction of the price. How much do become invisible braces cost? Along with the decrease in costs, these systems provide better delivery times, with the final product delivery being vastly improved. 129 отметок «нравится», 24 комментариев — suraya zainudin (@surayaror) в instagram: How do patients travel to malaysia for cosmetic dental procedures?

Due to the high costs of treatment for teeth braces in the usa, uk and other western european countries, many people consider getting their dental work done abroad. The next table is made according to oral b average cost of braces in the u.s compared to our 2021 braces price list. Prices of restaurants, food, transportation, utilities and housing are included. In mexico braces cost goes from $500 usd to $4500 usd it all depends on the type of braces. Clear braces cost in malaysia is higher than the traditional metallic braces.

Best Teeth Braces Clear Aligners In Kuala Lumpur Malaysia
Best Teeth Braces Clear Aligners In Kuala Lumpur Malaysia from www.erufucare.com
Read more to see how you can get an invisalign assessment. How much your braces cost will depend highly on where you live. I am asking who much is the minimum living cost for an undergraduate student in malaysia if he was enjoying a scholarship? , has anybody any information that may be of help ? Rural areas can be pricier than large city treatments. Lingual braces generally cost more than other traditional braces. Single person estimated monthly costs: $19.95 per month and it saves everyone in the household up to 80% off dental/vision/rx and chiropractic care. Lingual braces tend to cost more than traditional braces.

Braces are never cheap, but even without dental insurance there are ways you can afford it.

The retainer can be a separate cost of a few hundred dollars, depending on the orthodontist. I agree with scott frey that multiple opinions are good. Get your dream smile with become invisible braces delivered to your doorstep for a fraction of the price. «rm8500 and 1.5 years later, the treatment is done. Patients find aligners as the effective alternative to braces as it offers multiple advantages. I am asking who much is the minimum living cost for an undergraduate student in malaysia if he was enjoying a scholarship? , has anybody any information that may be of help ? Clear braces cost in malaysia is higher than the traditional metallic braces. Conventional braces cost in malaysia. This is because risks are reduced when buying materials and selling services and products to consumers. Single person estimated monthly costs: Unpredictable braces cost in most countries braces cost will depend on the position of your teeth and the fees applied in your local area and almost always be presented to you on a from price list. For example, aligners are removable which means a user can remove aligners while eating or drinking. Due to the high costs of treatment for teeth braces in the usa, uk and other western european countries, many people consider getting their dental work done abroad.

You'll then need to schedule a physical consultation to receive a proper quote after having discussed your. There is no standard fee, as everyone's individual needs are different. In mexico braces cost goes from $500 usd to $4500 usd it all depends on the type of braces. For example, treatment in metropolitan cities is typically more costly than at rural practices due to operating costs in those regions. Get your dream smile with become invisible braces delivered to your doorstep for a fraction of the price.

Invisible Braces Malaysia Affordable Teeth Straightening Become
Invisible Braces Malaysia Affordable Teeth Straightening Become from become.my
It's also underscoring the challenge for chinese authorities as they work toward two conflicting goals: Rural areas can be pricier than large city treatments. I agree with scott frey that multiple opinions are good. Malaysia's #1 shopping platform for baby & kids essentials, toys, fashion & electronic items, and more! Lingual braces are fixed behind the teeth to make them almost undetectable. Average prices of more than 40 products and services in malaysia. In mexico braces cost goes from $500 usd to $4500 usd it all depends on the type of braces. Your options will be limited by the types of braces your orthodontist has experience in, as well as your particular alignment problems.

In mexico braces cost goes from $500 usd to $4500 usd it all depends on the type of braces.

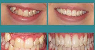
«rm8500 and 1.5 years later, the treatment is done. Invisalign treatment costs vary from doctor to doctor but can be comparable to the cost of traditional braces. The retainer can be a separate cost of a few hundred dollars, depending on the orthodontist. Patients find aligners as the effective alternative to braces as it offers multiple advantages. I'm no longer a #braceface! I agree with scott frey that multiple opinions are good. The total cost of treatment chiefly depends on the specific type of braces you select, as well as the length of time you wear them. After reading this guide, you will be armed with. It is considered a simple oral surgery which involved a small cut (after thoroughly numbing. How much do dental braces cost? For example, treatment in metropolitan cities is typically more costly than at rural practices due to operating costs in those regions. Braces which the wire is secured with elastic bands. Braces price in malaysia braces cost in malaysia dentist shah alam teeth braces braces cost retainer braces crooked teeth dental braces teeth third molar surgeries are quite commonly done in malaysia.

Braces cost in mexico vs usa. Braces which the wire is secured with elastic bands. For example, aligners are removable which means a user can remove aligners while eating or drinking. Lingual braces generally cost more than other traditional braces. 129 отметок «нравится», 24 комментариев — suraya zainudin (@surayaror) в instagram:

Smile Dental Centre Kota Kinabalu Home Facebook
Smile Dental Centre Kota Kinabalu Home Facebook from lookaside.fbsbx.com
Where you live in your country will cause a difference in pricing as well. How much do become invisible braces cost? Lingual braces tend to cost more than traditional braces. The next table is made according to oral b average cost of braces in the u.s compared to our 2021 braces price list. After reading this guide, you will be armed with. Find out more about hidden braces and their cost in our complete guide. It's also underscoring the challenge for chinese authorities as they work toward two conflicting goals: In mexico braces cost goes from $500 usd to $4500 usd it all depends on the type of braces.

First, you'd get started with a free scan at becomestudio, to take the impressions of your teeth for our.

I'm no longer a #braceface! As long as they're considered medically necessary (and braces, unlike whitening treatment and veneers, count), dental health care costs are tax deductible. Some orthodontists include the cost of retainers in the overall cost of braces, and some do not. How much do braces generally cost in australia? Braces aid to correct irregular teeth positioning, jaw correction, improvement in chewing and smile aesthetics. Braces are never cheap, but even without dental insurance there are ways you can afford it. Be sure to ask whether retainers will cost extra after treatment is completed. Hello, braces that normally cost up to 7k only cost $2300 with ameriplan. Braces cost in mexico vs usa. You are about to be hit by the most comprehensive braces guide in malaysia. Get your dream smile with become invisible braces delivered to your doorstep for a fraction of the price. I am asking who much is the minimum living cost for an undergraduate student in malaysia if he was enjoying a scholarship? , has anybody any information that may be of help ? Dental braces are appliances which are used to align or straighten the teeth and guide the teeth to the corrected position.

Related : Braces Cost In Malaysia - For example, aligners are removable which means a user can remove aligners while eating or drinking..